Published on
Download the article PDF: Clinical Image Challenges April 2026
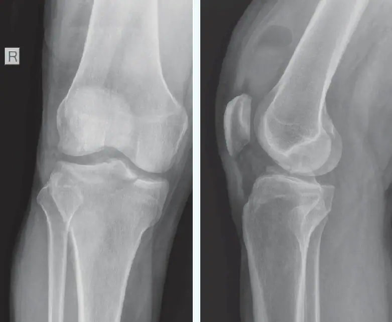
A 38-year-old otherwise healthy male presents to urgent care with acute right knee pain following a 6-foot fall from a ladder, landing directly on his right lower extremity 2 hours prior to arrival. He reports severe pain and the inability to bear weight since the injury. Physical examination reveals that he is afebrile with normal vital signs. Musculoskeletal exam is notable for moderate knee effusion with surrounding early ecchymosis, and medial joint line tenderness. There is pain with passive range of motion. Neurovascular assessment is unremarkable with normal sensation, brisk capillary refill, and no edema seen distal to the knee.
Review the images and consider what your diagnosis and next steps would be. Resolution of the case is described on the following page.

