Published on
Download the article PDF: Clinical Image Challenges April 2026
Differential Diagnosis
- Anterior cruciate ligament injury
- Tibial plateau fracture
- Meniscal injury
- Patellar dislocation
- Prepatellar bursitis

Diagnosis
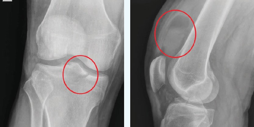
The correct diagnosis is a tibial plateau fracture. The x-ray reveals an acute oblique fracture of the proximal tibia which traverses through the medial tibial plateau and extends to the intercondylar region. Involvement of the tibial spine is seen on the lateral view, as well as joint effusion and soft tissue swelling. There is also a visible fat-fluid level consistent with lipohemarthrosis, confirming that the fracture is intra-articular.
Tibial plateau fractures typically result from high-energy trauma such as motor vehicle collisions and falling directly down on the knee. The medial tibial plateau requires a higher force for fracture as it is the stronger side of the joint; an axial load such as landing on one’s feet after falling from a height is a potential mechanism. A tibial fracture is the most common injury associated with extremity acute compartment syndrome (ACS).
What to Look For
- History and physical: Patients with tibial plateau fractures will report immediate inability to bear weight after the injury. Exam findings include bony tenderness, decreased range of motion, soft tissue edema, and joint effusion.
- Possibly limited exam: Full examination of the knee may be limited by acute swelling and pain; injection of local anesthetic into the knee joint may facilitate evaluation of cruciate/collateral ligaments and meniscus.
- Consider ACS: Evaluate the neurovascular status of the distal extremity to evaluate for this emergent, limb-threatening complication.
- Check the fibula: Fibular head fracture accompanies tibial plateau injuries in about 30% of cases.
Pearls For Urgent Care Management
- Priorities: Knee immobilization in near-full extension, establishing non-weight bearing status, and pain management.
- Emergency surgical referral: Required for open fractures and those that cause vascular compromise or compartment syndrome.
- Prompt orthopedic referral: Most fractures, particularly those sustained from a high energy mechanism, require advanced imaging and surgical treatment with open reduction and internal fixation.
- Home care: Compression, icing, appropriate analgesics, intermittent elevation of the leg above heart level, and strict non-weight-bearing until orthopedic follow-up.
Image Acknowledgement: Experity Teleradiology
