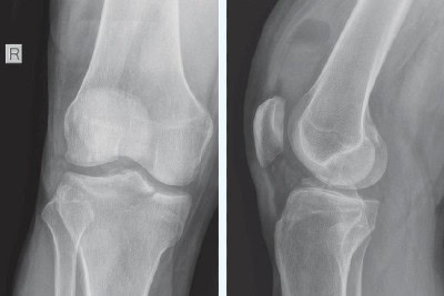
A 38-year-old otherwise healthy male presents to urgent care with acute right knee pain following a 6-foot fall from a ladder, landing directly on his right lower extremity 2 hours prior to arrival. He reports severe pain and the inability to bear weight since the injury. Physical examination reveals that he is afebrile with normal vital signs. Musculoskeletal exam is notable for moderate knee effusion with surrounding early ecchymosis, and medial joint line tenderness. There …
Read More









