Published on
In each issue, JUCM will challenge your diagnostic acumen with a glimpse of x-rays, electrocardiograms, and photographs of dermatologic conditions that real urgent care patients have presented with.
If you would like to submit a case for consideration, please e-mail the relevant materials and presenting information to [email protected].
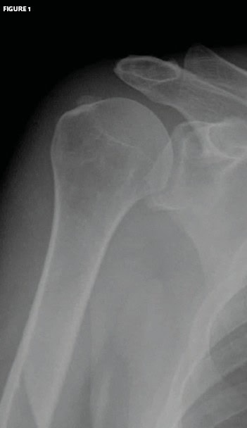
The patient is a 62-year-old who presents with a primary complaint of right shoulder pain that developed over time.
The patient denies any trauma. The patient is well appearing, and the history and examination are unremarkable.
View the image taken (Figure 1) and consider what your diagnosis and next steps would be.

Resolution of the case is described on the next page.

