Published on
Resolution

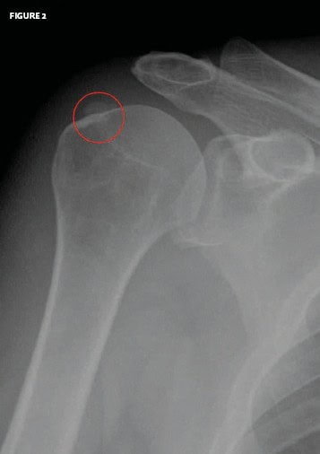
The x-ray shows calcification along the head of the humerus, which is consistent with a calcific tendinitis.
This patient was advised to follow up with an orthopedist. One might also consider a local cortisone injection, with or without physical therapy, in such a case.
Acknowledgement: Case presented by Nahum Kovalski, BSc, MDCM, Terem Emergency Medical Centers, Jerusalem, Israel.
Clinical Challenge: September, 2010
1 2

