Published on
Download the article PDF: Clinical Image Challenge February 2026
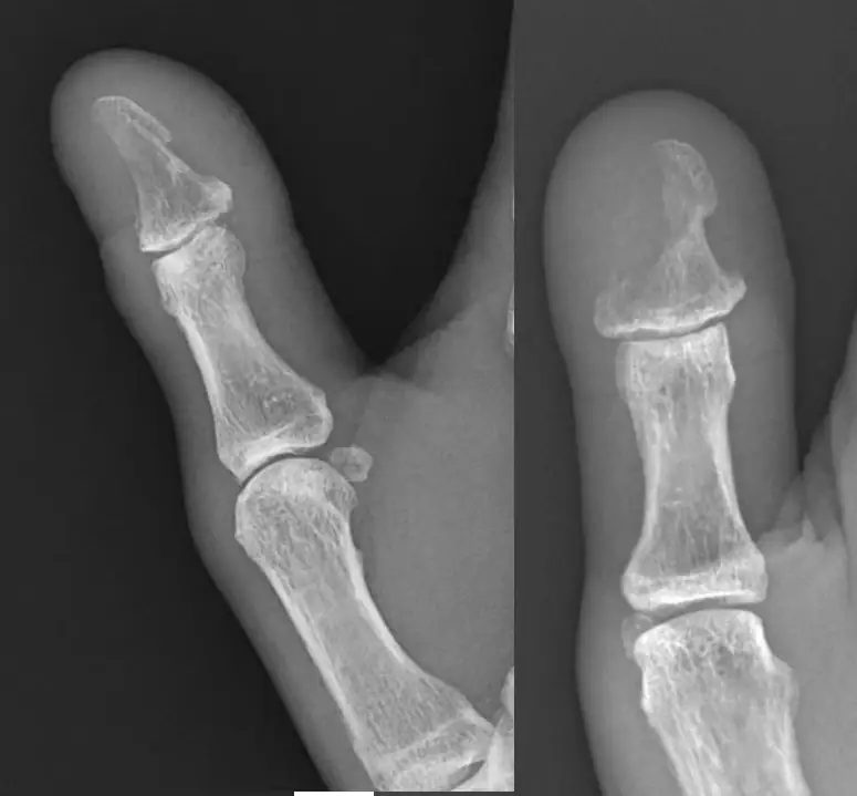
A 64-year-old female presents to urgent care complaining of right thumb pain. The patient states she removed a wooden splinter from her thumb herself about 2 weeks prior, she denies any other trauma or systemic symptoms. ย The patient has a history of Type II diabetes and her last A1C 2 months prior was 9.3.
Physical examination reveals the patient is afebrile with normal vital signs. There is a small, scabbed wound on the palmar surface of the thumb and moderate tenderness, induration, edema and erythema are noted surrounding the wound. There is a faint linear extension of erythema up to the metcarpophalangeal joint. She has decreased interphalangeal joint range of motion. Sensation is intact and capillary refill is brisk. ย ย Radiographs are ordered.
View the x-ray images taken and consider what your diagnosis and next steps would be. Resolution of the case is described on the next page.

