Published on
Download the article PDF: Clinical Image Challenge February 2026

Differential Diagnosis
- Osteomyelitis of the first digit
- Cellulitis
- Charcot arthropathy
- Osteonecrosis
- Tuft Fracture
- Bone tumor
- Synovitis, acne, pustulosis, hyperostosis, and osteitis (SAPHO)
- Complex regional pain syndrome (CRPS)
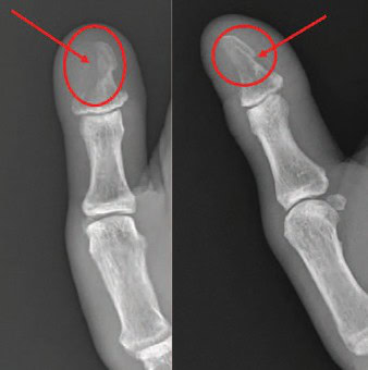
Diagnosis
X-rays show soft tissue swelling and bony erosion of the distal phalanx, favoring osteomyelitis of the first digit. Osteomyelitis, a bone infection, can result from bacteremia or direct spread from adjacent joints or soft tissues. It can be either acute or chronic, and immunocompromised patients (particularly those with poorly controlled diabetes) are at increased risk. Osteomyelitis typically requires at least 1 cm of bone involvement (~40% mineral loss) to show on radiographs, with changes often visible 5–7 days after symptom onset in children and 10–14 days in adults. Magnetic resonance imaging is often required to confirm the diagnosis.
What to look for
- Suspect osteomyelitis with new or worsening musculoskeletal pain, poor healing of adjacent soft tissue, cellulitis over implanted orthopedic hardware, or trauma (e.g., bite, puncture wounds).
- In diabetic patients, osteomyelitis should be suspected if ulcers probe to bone or fail to heal.
- Elevated WBC (white blood count), CRP (C-reactive protein), and ESR (erythrocyte sedimentation rate) can support the suspicion of osteomyelitis but are overall nonspecific.
- High clinical suspicion for osteomyelitis warrants urgent orthopedic consultation and follow-up, typically in an emergency department.
Pearls For Urgent Care Management
- If sepsis is a concern, draw blood cultures prior to transfer to emergency department if available.
- Bone biopsy is the gold standard for diagnosis and pathogen identification; surgical intervention is a critical component of osteomyelitis management.
- Inform patients that orthopedic care may include magnetic resonance imaging, hospitalization, surgery and/or prolonged IV antibiotics.
