Published on
Download the article PDF: Clinical Image Challenges November 2025
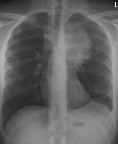
A 21-year-old male with no significant past medical history presents to urgent care with a 3-week history of progressive cough, night sweats, dyspnea, and chest discomfort. He denies sore throat, rhinorrhea, sinus congestion, hemoptysis, weight loss, wheezing, tobacco use, or illicit drug use.
On examination, vital signs are within normal limits. The patient appears well and not in acute distress. Lung auscultation was clear bilaterally, and the remainder of the initial physical exam is unremarkable. A chest radiograph (anteroposterior and lateral views) is obtained.
Review the anteroposterior chest x-ray image and consider what your diagnosis and next steps would be. Resolution of the case is described on the following page.

