Published on
Download the article PDF: Chronic Calf Pain And Limp A Case Report Of Pediatric Slipped Capital Femoral Epiphysis
Urgent Message: Pediatric patients frequently present to urgent care with musculoskeletal complaints, but clinicians must remain aware of the less common surgical and medical emergencies that can present with these symptoms.
Key Words: Slipped Capital Femoral Epiphysis; Pediatric Limp; Antalgic Gait; Obesity; Urgent Care Diagnosis
Abstract
Clinical Presentation: A 13-year-old male presented to a pediatric urgent care with the chief complaint of left calf pain for a month that had acutely worsened over the past few days with new onset limping.
Physical Exam: There were no signs of trauma or injury to the left lower extremity, and the patient had normal range of motion of the knee and ankle. When lying supine, he had left hip pain and limited internal rotation of the left hip. His gait was antalgic with notable resting external rotation of the left lower extremity.
Case Resolution: Radiographs of the left tibia and fibula did not show signs of osseous abnormality. However, images of the left hip joint, particularly when compared to the right side, were concerning for slipped capital femoral epiphysis (SCFE).
Conclusion: Full clinical and diagnostic evaluation of the left lower extremity, in conjunction with the knowledge that SCFE should be on the differential for this particular patient, led to the final diagnosis of SCFE. Shared decision making with radiology and orthopedics allowed the patient to be treated in an expedited fashion.
Introduction
Slipped capital femoral epiphysis (SCFE) is the most common pediatric hip pathology in the preadolescent and postpubertal pediatric populations.[1] It is a diagnosis that can present with vague and chronic complaints frequently undiagnosed by the nonorthopedic provider, thus resulting in delayed diagnosis and further complications.[2] There are some features that are common in the presentation of SCFE, however, there are also some features that can make the diagnosis less evident.
Case Presentation
A 13-year-old African-American male presented to the pediatric urgent care (PUC) with his mother with a chief complaint of left calf pain for approximately 1 month. The mother reported he recently started limping. He reported a few instances where another child fell on his leg over the past 8 months when playing basketball, but he had no other specific traumatic events that occurred just prior to the pain starting. The pain was always isolated along the left posterior lower leg, and the right leg never had any pain. He denied pain anteriorly, specifically at the tibial tuberosity. He described the pain as aching and occurring intermittently and was worsened by walking and playing basketball. The patient reported the pain had become acutely more severe over the past few days. He had tried acetaminophen a few times for the pain with only minimal improvement. He had not sought previous medical evaluation or treatment for this pain since it started.
The patient and his mother denied any past medical history or surgeries. His only medication was daily cetirizine for nasal congestion. The patient was up to date on his recommended immunizations for his age.
The patient’s vital signs were as follows:
- Temperature: 37.2°C (98.8°F)
- Pulse: 91 beats per minute
- Respiratory rate: 19 breaths per minute
- Oxygen saturation: 98% on room air
- Weight: 103.1 kg (227 lbs. 4.7 oz.)
- Height: 170.2 cm (5’ 7”)
- Body mass index (BMI): 99.5 percentile for his age and sex (139% of the 95 percentile)
- Blood pressure: 128/76 (92 percentile for his height and sex)
On arrival into the exam room, the patient was sitting upright on the exam table. He was alert and cooperative throughout the history and exam. He did not appear to be in any acute distress or pain prior to examination.
A focused musculoskeletal exam of the bilateral lower extremities was performed. There were no identifiable signs of injury or anomaly on observation and skin exam (ie, no bruising, swelling, lacerations, or previous scars). Palpation of bilateral lower extremities did not elicit any point tenderness, particularly of bony prominences or of the posterior leg—including the gastrocnemius muscle, soleus muscle, or calcaneal tendon.
The patient was able to lie supine with ease. He had full passive range of motion (ROM) of his bilateral ankles and knees without pain. Patient allowed for full passive ROM of his right hip, but he experienced pain of the left groin with passive flexion, internal rotation, and external rotation of the left hip with the knee flexed.
Urgent Care Management
The patient did not have any systemic symptoms or musculoskeletal complaints pertaining to other extremities, so the differential diagnoses focused on those of the lower extremity. The lack of systemic symptoms made a hematologic malignancy less likely, but a bony tumor (ie, osteosarcoma, Ewing sarcoma, etc.) could not be ruled out without further imaging of the lower extremity. Calf circumferences were not obtained, but on observation and palpation, the left calf was not grossly larger than the right. Additionally, the left calf was not tense or edematous, making the diagnosis of a deep vein thrombosis (DVT) or other vascular pathology less likely. The examinations of the knees and ankles were reassuring without signs of osseous or ligamentous changes from a previous injury that may cause a limp. These joints also did not show signs of a chronic effusion or overlying skin changes that would be concerning for underlying rheumatologic or infectious etiologies.
The diagnostic tools available were limited to basic point of care (POC) labs and radiographs. The first imaging obtained was anteroposterior (AP) and lateral radiographs of the left tibia and fibula that did not demonstrate a fracture or osseous abnormality but did identify a mild patella alta—a “high-riding” patella.



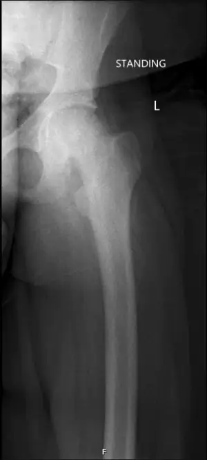
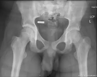
Upon return to the exam room to discuss the results of the tibia and fibula images, the patient’s gait was evaluated. An antalgic gait that favored the left lower extremity was observed, and his left leg and foot were held in external rotation. His antalgic gait in conjunction with the painful passive ROM of the left hip on initial exam led to the decision to obtain AP and lateral left hip radiographs (Figures 1A-1B). These images were reviewed with the on-call radiology resident, and it was suggested to image the bilateral hips for better comparison (Figure 1C). The final images of the bilateral hips were discussed with the on-call radiology resident, as well as the on-call orthopedic resident, to further delineate a possible diagnosis.
Final Diagnosis, Medical Decision Making
The patient’s history, physical exam, and radiographs were concerning for SCFE of the left hip. The urgent care radiographs had poor penetration and were not of the best quality to definitively make the diagnosis. Shared decision making with the urgent care physician, on-call orthopedic resident, and the patient’s mother, came to the conclusion that the patient should present to the pediatric emergency department (PED) at a local tertiary children’s hospital for further evaluation and better imaging.
The PED team repeated radiographs of the bilateral hips (Figure 2) with better penetration that confirmed the diagnosis of SCFE. The orthopedic service was consulted and recommended open reduction and internal fixation to repair the slip in an attempt to prevent avascular necrosis. He was admitted to the hospital under the orthopedic service, made non-weight-bearing status, and ordered nothing by mouth at midnight. He had labs drawn for thyroid stimulating hormone and vitamin D levels that were within normal limits. He was taken to the operating room the next morning and discharged home the same day following the procedure. After the surgery, he had 2 follow-up visits with orthopedics and was doing well.

Discussion
Limping and lower extremity pain are common presentations in the urgent care setting with studies indicating it is the chief complaint for 0.1–5% of cases presenting to the PED.[3] When considering the chief complaint of a limp in the pediatric patient, there are several considerations that can help to narrow the differential diagnosis including age, timing of the limp, presence of pain, systemic symptoms, known or lack of trauma, etc. Additionally, it is crucial to include many surgical and medical emergencies on the differential that are applicable to your limping patient, which include, but are not limited to, undiagnosed malignancy (ie, acute myeloid leukemia, acute lymphoid leukemia, bony tumors, metastatic tumors), new-onset juvenile idiopathic arthritis, septic arthritis, osteomyelitis, compartment syndrome, and SCFE.
SCFE is one of the most common hip pathologies in the preadolescent and adolescent age population, with some studies indicating a prevalence of 1 in 10,000 to 20,000 cases.1 It is twice as common in males as in females and has an African-American predominance. Most children are in early adolescence when diagnosed due to their growth spurt. The majority of cases present unilaterally, but approximately 25% of cases will present with bilateral hip involvement.[4] For those that do present with only 1 hip involved, anywhere between 15–60% of these patients will go on to have later involvement of the contralateral hip.1,4
SCFE is defined as a separation between the epiphysis and the metaphysis of the femoral head, resulting in a posterior translation of the epiphysis and anterior displacement of the metaphysis. The epiphysis remains in the acetabulum while the femur rotates externally and into extension.[5] Obesity is the greatest risk factor with many theories suggesting the extra weight puts an increased mechanical strain on the physis.1 Perry et al. demonstrated that there was an increased risk factor of 1.7 for developing SCFE for each integer increase in BMI at 5-6 years old. Of note, obesity may lower the age for skeletal maturation and also lead to earlier presentation of SCFE as compared to those children that are not obese.[6] However, other known risk factors include pathologies that can cause osseous abnormalities, such as endocrinopathies, previous growth hormone use, renal disorders, vitamin D deficiency, and previous radiation therapy around the hip joint. Patients that are not obese and/or outside the typical age range at presentation should be referred to endocrine specialists for further evaluation of a possible underlying endocrinopathy.
Approximately two-thirds of patients presenting with SCFE have a chief complaint of hip or groin pain. However, that leaves one-third of patients presenting with pain outside of the area of the hip with referred pain to the thigh, knee, or the lower leg. The pain is most often chronic, vague, dull, and nonradiating, and the history lacks any obvious incidences of trauma that correlate to the onset of discomfort.4 Hosseinzadeh et al. illustrated that only 19% of patients in their study were diagnosed within one week of presentation to nonorthopedic providers as opposed to 97% of those seen by orthopedic surgeons. The patients that were not picked up on initial presentation had an average of 94 days to the time of diagnosis.2
Due to the position of the femur, as outlined above, the hip is usually held in external rotation with limited internal rotation range of motion. Some patients with more significant presentations may have associated limb shortening.4 Studies have demonstrated a direct correlation between the degree of slippage and the limitation of internal rotation of the hip.[7] If the patient is able to ambulate, gait abnormalities are common including antalgic gaits, Trendelenburg gait (trunk shift over the affected hip in the swing phase) in moderate to severe cases, as well as a waddling gait in those with bilateral involvement.1 It is crucial to evaluate both hips for comparison and for the possibility of bilateral involvement.
When there is an appropriate degree of suspicion for SCFE, the next step is to obtain radiographs. Several images are important to aid in the diagnosis including an AP view of the affected hip and the pelvis to compare both sides, as well as a frog-leg lateral view of the affected side. The severity of the slip is related to the stability, chronicity, and degree of slip. A stable slip is defined as a patient that is able to bear weight on the affected limb and walk with or without an assist device—as opposed to an unstable slip, which is defined as a patient who cannot walk in any capacity.[8] Acute versus chronic is defined as the presence of symptoms less than or more than 3 weeks in duration, respectively. Acute-on-chronic is defined as greater than 3 weeks overall with acute worsening of symptoms.4 The degree of the slip is split into 4 categories: pre-slip; mild; moderate; and severe, which can be determined based on the calculated Southwick angle (the angle between the epiphyseal and diaphyseal axes) on the radiographs. Pre-slip occurs when there is a widening of the physis but no displacement of the epiphysis. Mild slips start at <30° of difference between the affected and normal side; moderate is 30°–50°; and severe is >50°.
The hallmark of management is intraoperative reduction and in situ fixation of the affected hip.8 When a patient is recognized in the urgent care setting, the best next step is to make the patient non-weight-bearing and refer to pediatric orthopedics. If the patient is unable to bear weight, has an acute presentation, or bilateral involvement, it is crucial to send the patient to the closest emergency department to be further evaluated by orthopedics and possible admission with bed rest.1
Avascular necrosis of the femoral head is the most severe complication of SCFE and occurs more commonly with unstable SCFE. This occurs from the tearing of blood vessels that supply the femoral head in conjunction with compression of the arteries of the metaphysis.[9] Chondrolysis is the narrowing of the joint space and is the most common complication of SCFE, occurring both before and after diagnosis and surgical fixation. Approximately 15–60% of patients are at risk for contralateral slip and are more likely to occur in patients younger than average: <10 years old in girls; and <12 years old in boys.1,4 Femoroacetabular impingement (FAI) is characterized as residual hip deformity with part of the metaphysis remaining in contact with the acetabulum and is a possible complication of any SCFE patient regardless of severity.[10] Premature osteoarthritis is seen in a subset of patients, some of which go on to require reconstructive surgery at a younger age in adulthood than typically required.[11]
Many studies confirm that a delay in diagnosis can lead to increased severity of slip, and subsequently, more complications. Not only is the vague presentation a contributing factor to the delay in diagnosis, but so too is having lower income status and publicly subsidized insurance.2 Obesity, a significant risk factor for SCFE, is more prevalent in lower socioeconomic populations in the developed world.2 One study identified that children living in food deserts, whether in a rural or urban setting, had a higher incidence of SCFE. The lack of access to vitamin D-rich foods, along with higher obesity, may be explanations for this connection.[12]
Ethics Statement, Patient Perspective
Written informed consent was provided by the patient’s mother. Pertinent patient demographics were removed to preserve patient’s anonymity. The patient’s mother was very appreciative of the care he received and eager to learn more about the condition through this article. She reports that the patient is doing well with his recovery.
Takeaway Points
- SCFE is one of the most common pediatric hip pathologies, but the presentation can be vague, chronic, and presenting with referred pain to the thigh, knee, and lower leg.
- Obesity is the greatest risk factor, and most cases present in preadolescence (most commonly between the ages of 10–13 years old).
- Patients that do not fit the more common patient population may have an underlying pathology that affects bone structure and remodeling, including endocrinopathies, renal dystrophies, or vitamin D deficiency.
- In general, the longer the symptoms have been present, the higher likelihood for a more severe slip and increased risk for complications.
- If SCFE is high on a provider’s differential diagnosis, the patient needs to be made non-weight-bearing and transferred to a higher level of care with pediatric orthopedics to evaluate the patient for further management.
Manuscript submitted May 27, 2025; accepted October 16, 2025.
References
- [1]. Cotton E, Fowler C, Maday K. A Review of Slipped Capital Femoral Epiphysis. JAAPA. 2022;35(12).
- [2]. Hosseinzadeh P, Iwinski H, et al. Delay in the Diagnosis of Stable Slipped Capital Femoral Epiphysis. J Pediatr Orthop. 2017;37(1).
- [3]. Truong T, Chang D, Friedman S. Limping Child. Pediatr Rev. 2024;45(8):476-478.
- [4]. Joffe M, Mal J. Musculoskeletal Emergencies. In: Bachur R, Shaw K, et al, eds. Fleisher & Ludwig’s Textbook of Pediatric Emergency Medicine. 8th ed. Wolters Kluwer; 2021:2960-2963.
- [5]. Herngren B, Stenmarker M, et al. Slipped Capital Femoral Epiphysis: A Population-Based Study. BMC Musculoskelet Disord. 2017;18.
- [6]. Perry D, Metcalfe D, et al. Childhood Obesity and Slipped Capital Femoral Epiphysis. Pediatrics. 2018;142(5).
- [7]. Jones C, Cooper A, et al. Relationships Between Severity of Deformity and Impingement in Slipped Capital Femoral Epiphysis. J Pediatr Orthop. 2017;37(4):272-278.
- [8]. Cazzulino A, Wu W, et al. Diagnosis and Management of Unstable Slipped Capital Femoral Epiphysis: A Critical Analysis Review. JBJS Rev. 2021;9(7):1-9.
- [9]. White A, Keil L, et al. How Urgent Are Stable SCFEs? A Multisite Retrospective Study Of Surgical Timing and Complications Among Patients With Stable Slipped Capital Femoral Epiphysis. J Pediatr Orthop. 2025.
- [10]. Dodds M, McCormack D, et al. Femoroacetabular Impingement After Slipped Capital Femoral Epiphysis: Does Slip Severity Predict Clinical Symptoms? J Pediatr Orthop. 2009;29(6):535-539.
- [11]. Larson A, Sierra R, et al. Outcomes of Slipped Capital Femoral Epiphysis Treated With In Situ Pinning. J Pediatr Orthop. 2012;32(2):125-130.
- [12]. Luster T, Gunderson Z, Sun S, Loder R. Slipped Capital Femoral Epiphysis, Food Deserts, Poverty, and Urban/Rural Residence: Is There a Link? J Pediatr Orthop. 2022;43(3):230-235.
Author Affiliation: Kristen Kyler, DO, Medical University of South Carolina After Hours Care, Charleston, South Carolina. The author has no relevant financial relationships with any ineligible companies.
