Published on
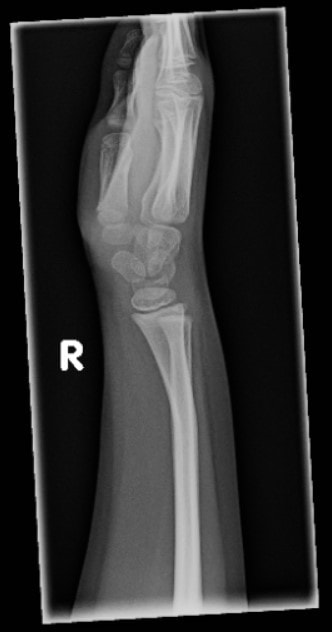
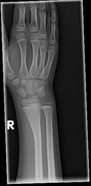
The patient is an 11-year-old boy who presents complaining of pain in his left and right forearm and wrist after falling from a height of approximately 5 feet. His parents report that he was attempting to hang upside down by his knees from a chin-up bar in his school’s gymnasium when he slipped.
View the images taken and consider what the diagnosis and next steps would be. Resolutions of the case is described on the next page.
An 11-Year-Old Boy with Forearm and Wrist Pain After a Fall
1 2


