Published on
Differential Diagnosis
- Bowing fracture of the radius
- Buckle fracture
- Greenstick fracture
- Physiologic bowing
- Stress fracture
Diagnosis
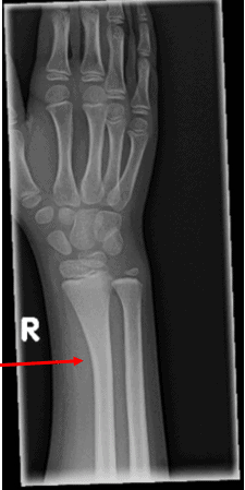
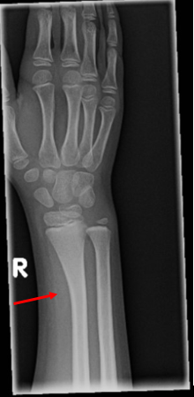
This patient sustained a bowing fracture of the radius. The x-ray shows abnormal gentle bowing of the radial shaft without any definite fracture line or cortical break, as well as soft tissue swelling.
Learnings/What to Look for
- Bowing fractures of the long bones occur exclusively in children and adolescents
- Radius and ulna are the most common sites, followed by the fibula
- Because they’re softer, more elastic, and have thinner cortex, pediatric bones tend to bend under angulated longitudinal force/stress. With low force, the bones bend and return to normal shape and position upon release of the force. If the force is greater than the mechanical strength of the bone, the bone undergoes a plastic deformation and remains deformed and bowed upon release of the force. Pathologically these bowed bones have multiple micro fractures along the concave border of the bone which are not visible on radiographs
- Fractures typically occur following a fall from a height on out stretched hands from furniture, climbing equipment, and monkey bars
- Typical symptoms are painful swelling and deformity
Pearls for Urgent Care Management and Considerations for Transfer
- Bowed fractures with <20⁰ angulation are managed conservatively, without manipulation
- Fractures with ≥⁰20 angulation are treated with reduction/manipulation
An 11-Year-Old Boy with Forearm and Wrist Pain After a Fall
1 2


