Published on
Case
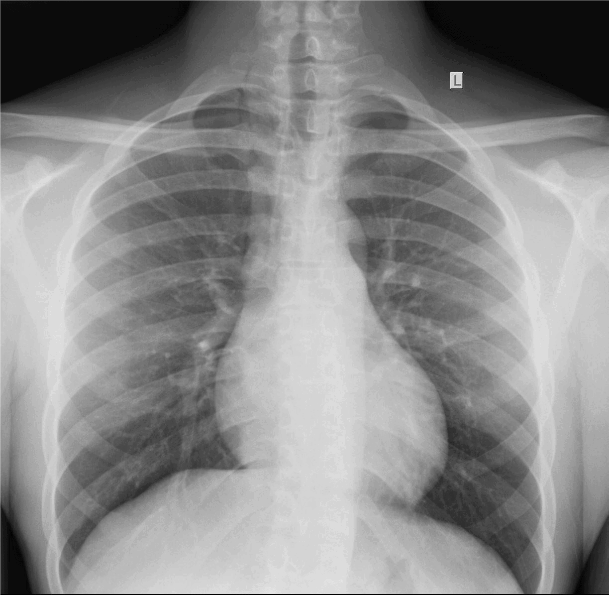
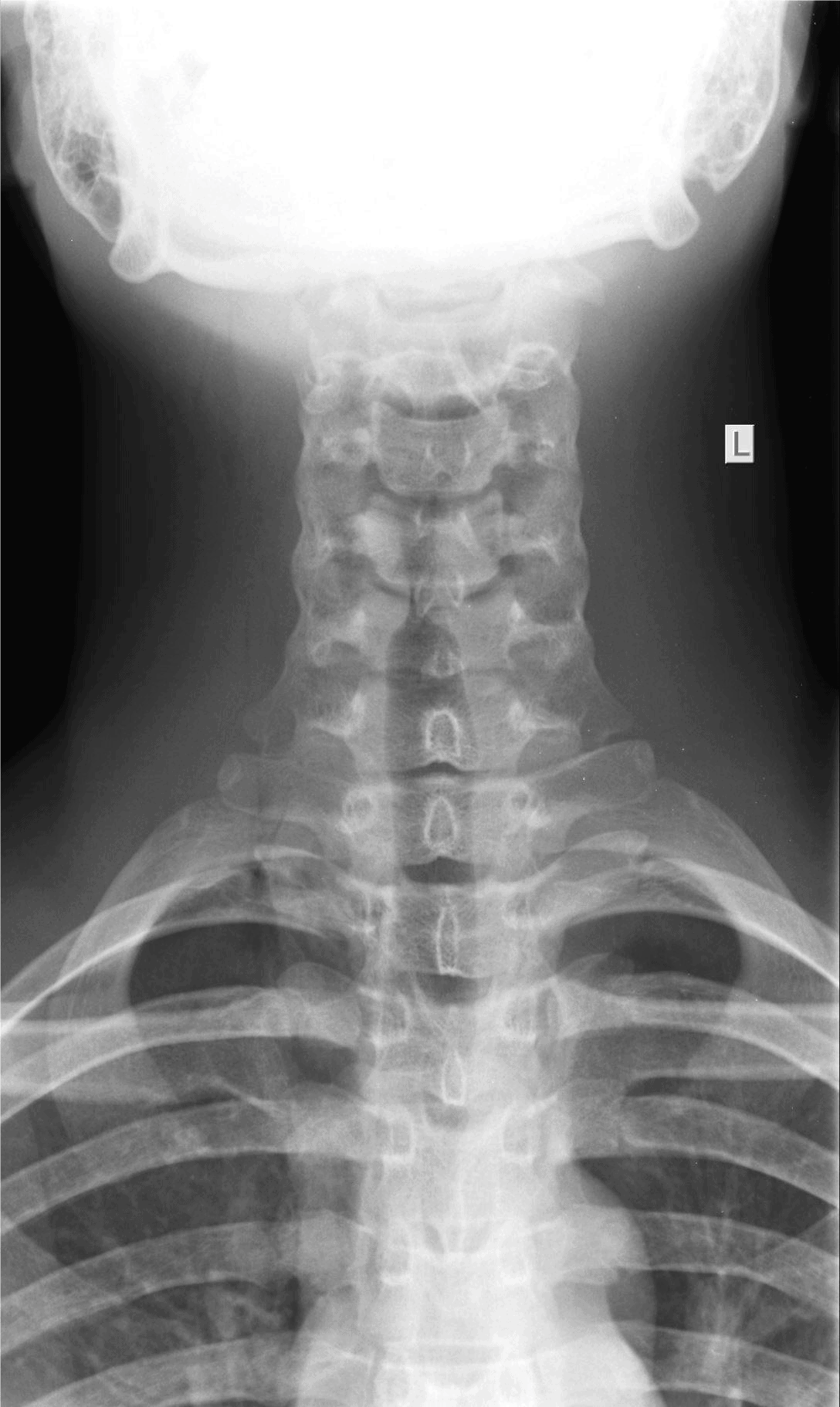
The patient is a 9-year-old girl who is brought in by her parents shortly after choking on a chicken nugget. They are concerned because even though she stopped gagging, she complains that it feels “like there’s something stuck in there.”
View the images, ordered to rule out a lodged foreign body, and consider what the diagnosis and next steps would be. Resolution of the case is described on the next page.
A 9-Year-Old Girl Who Choked on a Chicken Nugget
1 2




