Published on
Differential Diagnosis
- Allergic reaction
- Hematoma
- Inflammation
- Soft tissue emphysema
- Soft tissue infection
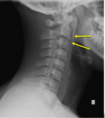
Diagnosis
This patient was diagnosed with soft tissue emphysema, which can cause discomfort—what this patient perceived as a foreign body sensation. In this case it arose from pneumomediastinum tracking into the neck soft tissues (confirmed on the subsequently performed chest radiograph).
Learnings/What to Look for
- Streaky hypodensities in the soft tissues of the neck compatible with gas
- This was like secondary to raised intrathoracic pressure from coughing after choking on food. Other possibilities for soft tissue emphysema include penetrating trauma and infection with a gas forming organism
Pearls for Urgent Care Management and Considerations for Transfer
- Transfer to the ED for consideration of CT imaging to evaluation for perforation, Boerhaave’s syndrome
- If the patient is hemodynamically unstable, start IV access and IV fluid resuscitation while awaiting transfer
Acknowledgment: Images courtesy of Teleradiology Specialists.
A 9-Year-Old Girl Who Choked on a Chicken Nugget
1 2

