Published on
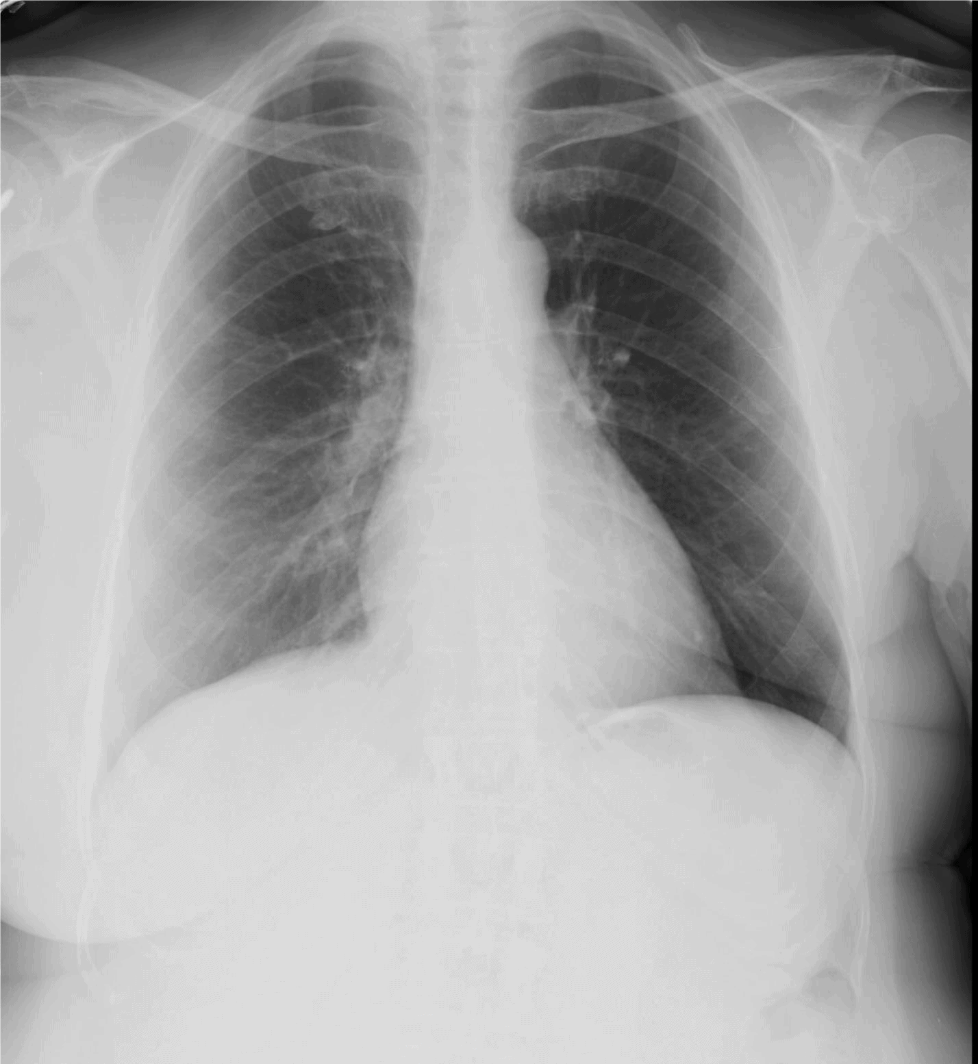
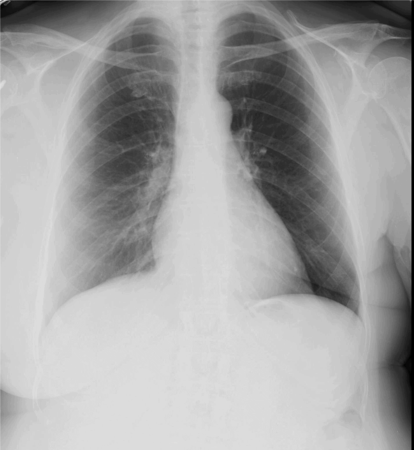
The patient is a 63-year-old woman who presents to the urgent care center with 4 days of dry cough. PMH: Breast cancer distant past. PSH: Mastectomy
View the image taken and consider what the diagnosis or next steps might be.
A 63-Year-Old Woman with a 4-Day History of Coughing
1 2

