Published on
Differential Diagnosis
- Airway obstruction
- Hyperlucent lung
- Pneumothorax
- Unilateral emphysema
Diagnosis
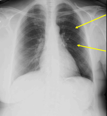
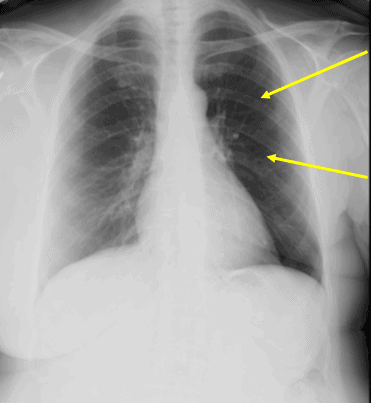
No acute lung infiltrates; left lung hyperlucent postmastectomy.
Learnings/What to Look for
- Common causes include:
- Compensatory distention of adjacent lobe or lung
- Contralateral increased density (eg, chest wall hemihypertrophy; pleural effusion)
- Emphysema, bullous or diffuse; large bulla
- Air trapping (eg, bronchial foreign body, stricture, mucus plug or neoplasm)
- Pectoral muscle absence, congenital (eg, Poland syndrome) or surgical (mastectomy) or atrophy (eg, polio)
- Pneumothorax
- Scoliosis
- Technical factors: positioning (eg, patient rotation); grid cutoff
Pearls for Urgent Care Management and Considerations for Transfer
- Consult the history for prior surgery or infections
- Assess the soft tissues to exclude mastectomy (as in this patient)
A 63-Year-Old Woman with a 4-Day History of Coughing
1 2

