Published on
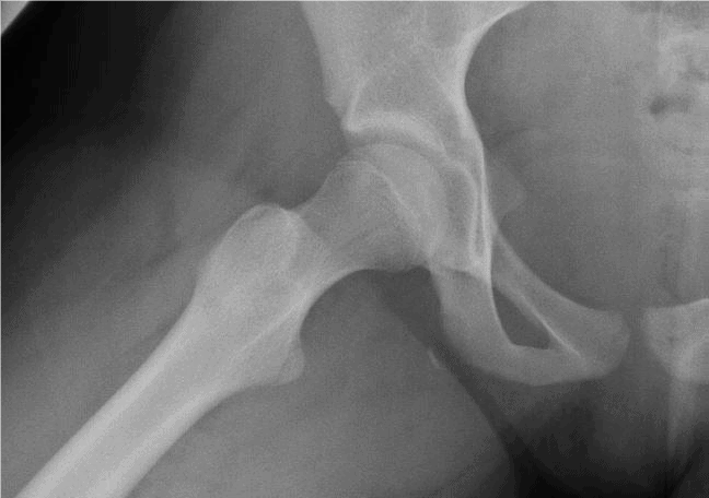
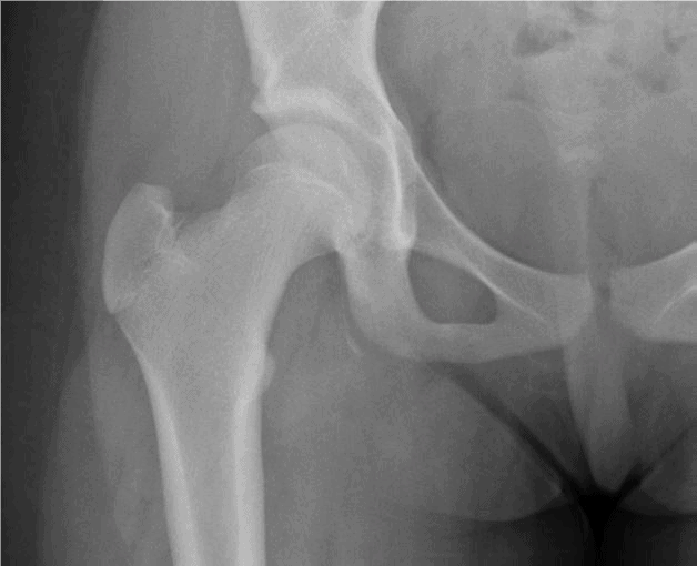
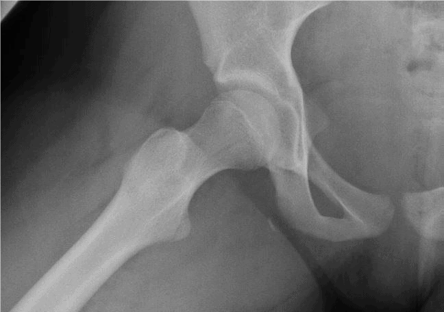
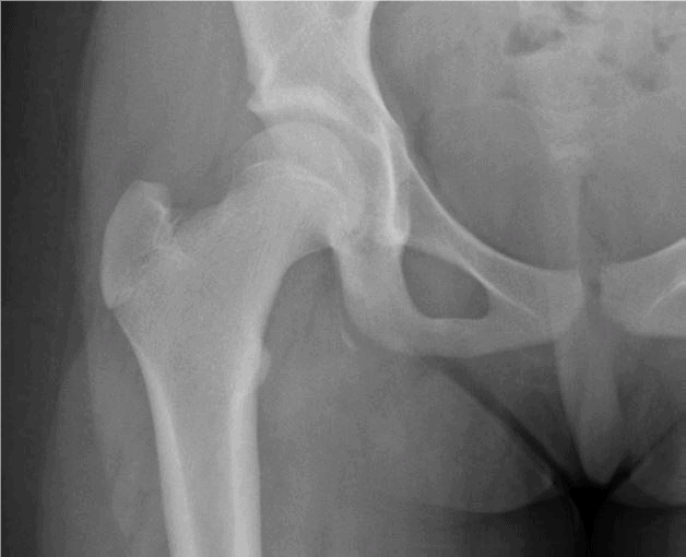
The patient is a 48-year-old woman who has had hip pain since joining her two sons and husband in a backyard touch football game yesterday afternoon. In particular, she describes planting her foot and trying so duck her older son’s grasp. She reports it is especially uncomfortable when driving or sitting at her desk at work.
View the images taken and consider what your next steps and a possible diagnosis would be.
A 42-Year-Old Woman with Sudden Hip Pain
1 2


