Published on
Differential Diagnosis
- Hamstring avulsion
- Lumbosacral facet syndrome
- Lumbosacral radiculopathy
- Sacroilliac joint injury
Diagnosis
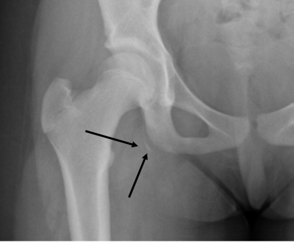
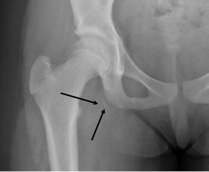
This patient sustained a hamstring avulsion. Diagnosis of such injuries is often missed or delayed, which results in complications such as sciatica, pain, weakness, stiffness, or even deformity.
Learnings/What to Look for
- Hamstrings are comprised of three muscles: the biceps femoris, the semitendinosis, and the semimembranosis
- Origin of the hamstrings is the ischial tuberosity
- Avulsion injury at the myotendinous junction causes a small sliver of bone to be separated, which visible on the radiograph.
Pearls for Urgent Care Management and Considerations for Transfer
- Management is conservative, with initial approach focused on pain relief with crutches, decreased activity and non-opioid analgesia
- Surgery is rarely required
- Follow up with orthopedics or primary care and return to activity within 4-6 weeks
Acknowledgment: Images courtesy of Teleradiology Specialists.
A 42-Year-Old Woman with Sudden Hip Pain
1 2


