Published on
Download the article PDF: Clinical Image Challenges October 2025
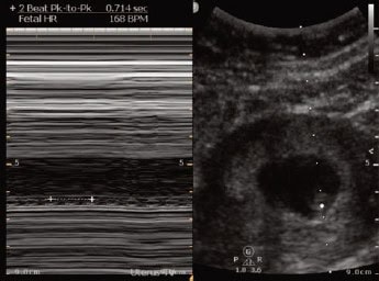
A 28-year-old female presents to urgent care with mild left lower quadrant (LLQ) abdominal pain that began earlier in the day. The discomfort is dull, intermittent, and non-radiating. She denies vaginal bleeding, fever, nausea, vomiting, or urinary symptoms. Her last menstrual period was approximately 2 months ago, although she reports a history of irregular cycles.
She appears well and is hemodynamically stable. An abdominal exam reveals mild LLQ tenderness without rebound or guarding. A pelvic exam shows no discharge, bleeding, adnexal tenderness, or cervical motion tenderness. No masses are appreciated. A urine pregnancy test performed in the clinic returns positive. Given concern for ectopic pregnancy, a transabdominal point-of-care ultrasound (POCUS) is performed.
View the images above and consider the likely diagnosis and next steps. The resolution of the case is described on the following page.


