Published on
Download the article PDF: Clinical Image Challenges October 2025

Differential Diagnosis
- Hamate fracture
- Fractures and/or dislocations of other carpal bones
- Distal radial fracture
- Metacarpal fracture
- Wrist sprain
- Hypothenar hammer syndrome
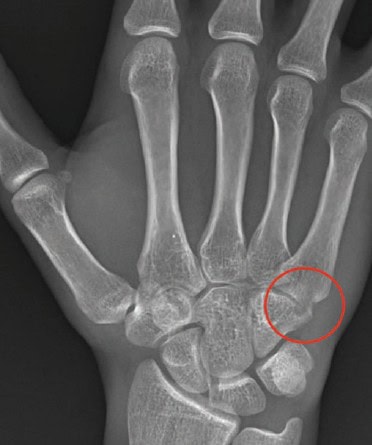
Diagnosis
The correct diagnosis is a hamate fracture, which is the third most common type of hand fracture. Among these, fractures of the hook of the hamate are more frequent than those involving the body of the bone. This injury often occurs either from a fall onto an outstretched hand or during sports activities when the end of a club, racquet, or bat is driven into the palm, applying direct pressure to the hypothenar eminence. It can affect either the dominant or non-dominant hand. Chronic, high-tension gripping may also contribute to the development of this fracture.
What to Look For
- High suspicion in athletes using bats, clubs, or racquets.
- Symptoms include ulnar-sided wrist pain, pain with gripping, and decreased grip strength.
- On examination, pain and tenderness is either localized over the hypothenar eminence or diffusely over the volar surface of the wrist and hand; swelling may be minimal or absent.
- On x-ray imaging, you may see subtle hypodensity and cortical indistinctness of the hamate bone, but plain films have poor sensitivity and specificity for hamate fracture.
Pearls for Urgent Care Management
- Often misdiagnosed as a soft tissue injury given sometimes subtle findings on presentation.
- If high clinical suspicion and indeterminate imaging, send for CT scan of the wrist for definitive diagnosis.
- Immobilize in short arm volar splint and provide basic fracture care including rest, ice, elevation, and analgesia.
- Avoid overuse or weight-bearing on hand.
- Refer to orthopedic hand specialist. Hook of the hamate fractures may require surgical excision if non-union develops.
- Provide anticipatory guidance about ulnar nerve irritation which may feel like numbness in 4th/5th digits.
