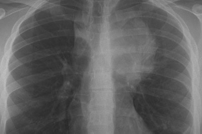
A 21-year-old male with no significant past medical history presents to urgent care with a 3-week history of progressive cough, night sweats, dyspnea, and chest discomfort. He denies sore throat, rhinorrhea, sinus congestion, hemoptysis, weight loss, wheezing, tobacco use, or illicit drug use. On examination, vital signs are within normal limits. The patient appears well and not in acute distress. Lung auscultation was clear bilaterally, and the remainder of the initial physical exam is unremarkable. …
Read More
