Published on

Resolution
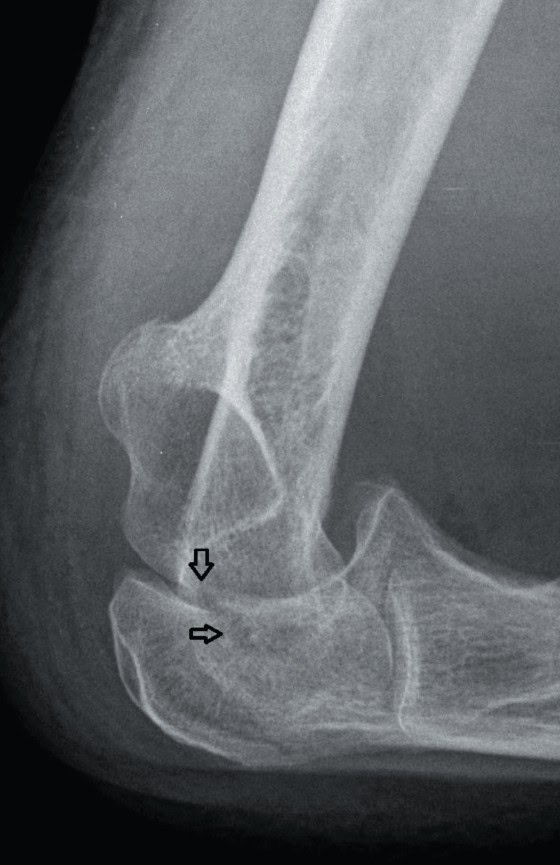
Diagnosis: The x-ray reveals a fracture of the olecranon. In a patient with dementia and this type of fracture, there may not be a history of a fall or trauma. A cast splint at 90 degrees at the elbow and follow up with an orthopedist are appropriate for this patient.
Acknowledgement: Case presented by Nahum Kovalski, BSc, MDCM, Terem Emergency Medical Centers, Jerusalem, Israel.
Clinical Challenge: September, 2012
1 2

