Published on
THE PRESENTATION

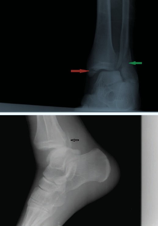
Diagnosis: The x-ray reveals a trimalleolar fracture of the ankle (arrows).
A trimalleolar fracture of the ankle involves the lateral malleolus (green arrow), medial malleolus (red arrow) and the distal posterior aspect of the tibia (black arrow). Ligament damage and dislocation are common. This is an unstable fracture and requires emergent orthopaedic consultation and adequate immobilization and analgesia in the urgent care center.
Acknowledgement: Case presented by Teleradiology Specialists (http://www.teleradiologyspecialists.com)
Clinical Challenge – May 2014
1 2
