Published on
THE SOLUTION

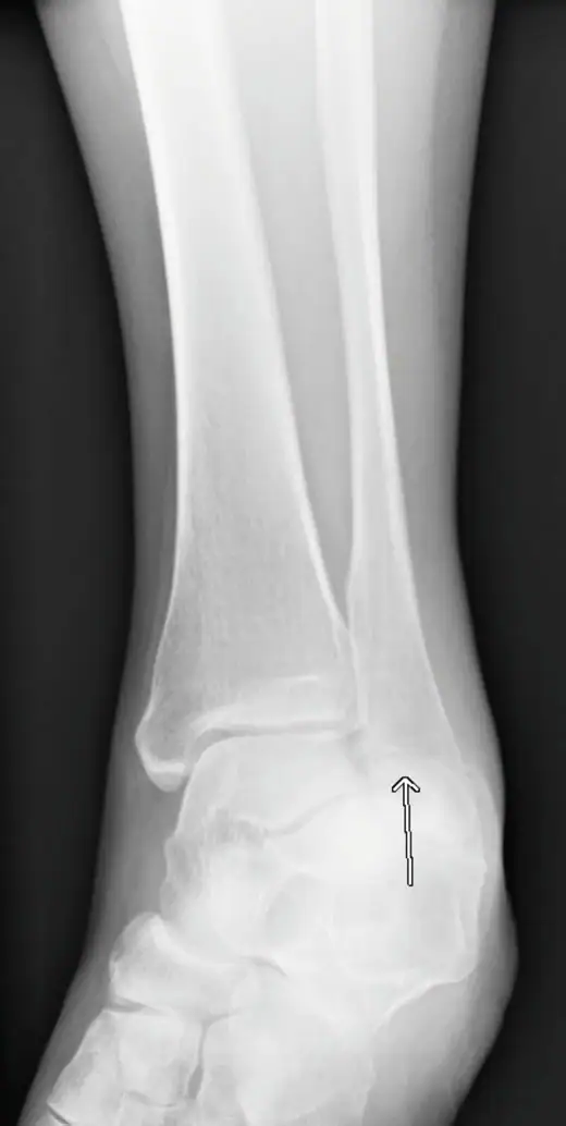
Diagnosis: The x-ray reveals a horizontal relatively nondisplaced fracture (arrow) of the lateral malleolus below the level of the talar plafond representing a Weber type A fracture or Lauge-Hansen supination adduction Stage I injury. A splint and referral to orthopedics for further management is appropriate for this patient.
Acknowledgement:
Case presented by Xiangyang Jiao, MD, Ohiohealth Urgent Care, Columbus, Ohio.
Clinical Challenge: February, 2014
1 2
