Published on
Differential Diagnosis
- Avulsion fracture of the anterior superior iliac spine
- Genitourinary abnormalities
- Intra-abdominal pathology
- Snapping hip syndrome
- Stress fracture
Diagnosis
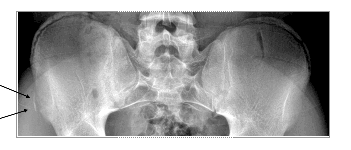
This patient was diagnosed with an avulsion fracture of the anterior superior iliac spine (ASIS), an injury that occurs most often in young athletes. It results from sudden, forceful contraction of sartorius and tensor fascia lata.
Learnings/What to Look for
- ASIS fractures occur as acute-onset injuries (though chronic stress fractures can be a predisposing factor)
- These injuries result from sudden, vigorous contractions (or repetitive contraction) of the sartorius and tensor fasciae latae muscles
Pearls for Urgent Care Management and Considerations for Transfer
- Treatment is usually conservative, including rest, analgesia, anti-inflammatory medications, and partial weightbearing supported by crutches. Referral to an orthopedist is warranted
- Fracture fragments displaced by more than 3 cm may require surgery
- Early diagnosis and prompt initiation of treatment are important to prevent ASIS injuries from becoming chronic
Acknowledgment: Images courtesy of Teleradiology Specialists.
A 12-Year-Old Football Player with Sudden Hip Pain
1 2

