Published on
Download the article PDF: Clinical Image Challenges March 2026
Differential Diagnosis
- Atelectasis
- Reactive airways disease
- Bronchiectasis
- Tuberculosis
- Community acquired pneumonia
- Malignant tumor

Diagnosis
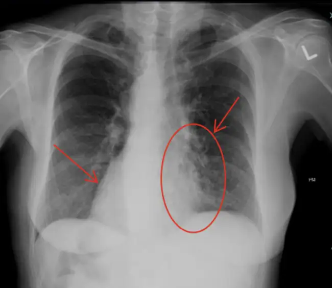
X-ray findings include prominent circular markings on the left lung base which are consistent with bronchiectasis. A closer look at the x-ray reveals that the heart is seen on the right side of the thoracic space, suggesting situs inversus. Situs inversus refers to the mirror-image arrangement of thoracic and abdominal organs and has no serious adverse health consequences by itself. However, in the context of chronic bronchiectasis and sinusitis, it is strongly suggestive of Kartagener syndrome. Kartagener syndrome is a subgroup of Primary Ciliary Dyskinesia (PCD) with a prevalence of approximately 1 in 20,000 to 40,000 individuals. Patients often present with recurrent respiratory infections, chronic sinusitis, and chronic and productive cough, while male patients may have a history of infertility due to immotile sperm.
What to Look For
- Acute exacerbations of bronchiectasis due to bacterial infection present with increased production of dark, viscous sputum and may be accompanied by fatigue, shortness of breath, pleuritic chest pain, or hemoptysis. Fever may not be present.
- Perform an otoscopic exam. Chronic otitis media with effusion (OME) is common in children and adolescents with PCD (>80 %) and can lead to hearing loss.
- X-ray imaging often shows bilateral, lower-lobe–predominant bronchiectasis and associated findings include situs inversus.
- High-resolution CT (HRCT) may reveal mucus plugging and air-fluid levels in the lungs as well as chronic sinusitis.
Pearls for Urgent Care Management
- Prompt treatment of pneumonia is needed to delay the development of bronchiectasis; initiate antibiotic treatment in patients with suspected pneumonia even when symptoms are mild.
- Treatment emphasis is on airway clearance therapy (chest physiotherapy, oscillatory devices, nebulized saline).
- Medical management of chronic rhinosinusitis includes nasal saline lavage and intranasal glucocorticoids.
- Encourage vaccination against respiratory infections (influenza, pneumococcal, SARS-CoV-2).
- Provide counseling regarding abstinence from smoking and limited exposure to smoke and air pollutants.
- Refer the patient for primary care and pulmonary follow-up. Advanced cases of Kartagener syndrome may require macrolide prophylaxis or lung transplantation if severe respiratory failure develops.
Acknowledgement: Images and case provided by Experity Teleradiology (www.experityhealth.com/teleradiology)
