Published on
Download the article PDF: Clinical Image Challenges March 2026
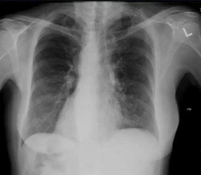
A 45-year-old woman presents to urgent care with a persistent productive cough for the past few months. Over the past week, she has noticed more sputum production, which is thick and dark in color, as well as fatigue and dyspnea on exertion. She denies fevers, pharyngitis, abdominal pain, or gastrointestinal upset. She denies tobacco use or occupational exposures to any inhaled chemicals. Physical exam reveals that the patient is afebrile with vital signs within normal limits. Coarse inspiratory and expiratory rales are heard in bilateral bases of lungs.
View the chest x-ray image and consider what your diagnosis and next steps would be. Resolution of the case is described on the following page.

