Published on
Download the article PDF: Clinical Image Challenges January 2026

Differential Diagnosis
- Supracondylar fracture
- Radial head subluxation
- Torus (buckle) fracture
- Salter-Harris fracture
Diagnosis
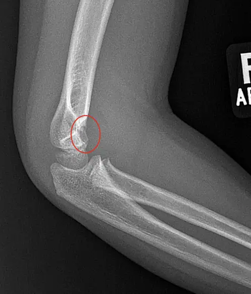
The correct diagnosis is a supracondylar fracture. The x-ray shows elevated distal humeral fat pads and a cortical lucency in the distal humerus, both supporting the diagnosis. Supracondylar fractures are the most common elbow fracture in pediatric patients. These injuries are typically seen in younger children – 90% are seen in children younger than 10 years of age. They are almost always due to accidental trauma such as falling on an extended elbow from a moderate height such as a bed or monkey bars. Rarely are they seen after a fall on a flexed elbow. Supracondylar fractures are graded as Gartland Types I – IV. Type I fractures are nondisplaced; Type II – IV are displaced fractures and require urgent orthopedic consultation and often surgical management. Higher grade fractures carry higher risks for complications including compartment syndrome, neurologic deficits and malunion deformities.
What To Look For:
- Assess distal pulses, perfusion and neurologic function to evaluate for compartment syndrome
- Ecchymosis over anterior and anteromedial aspect of forearm suggests brachial artery injury, anteromedial bruising is associated with median nerve injury and anterolateral bruising is associated with radial nerve injury
- Puckering of the skin in the antecubital fossa indicates possible injury to the brachial artery and/or median nerve
- On X-ray images, look for cortical irregularly or obvious fracture above the humeral condyles
- A posterior fat pad sign or sail sign indicates joint effusion and may be the only clue in the case of a non-displaced fracture
Pearls for Urgent Care Management:
- Avoid repeated manipulation or reduction attempts
- Prioritize pain management in clinic, ideally prior to obtaining Xray images
- Children who fall from a height greater than three times their standing height or 10 feet are at increased risk for trauma to the head, chest, and abdomen and warrant additional urgent evaluation
- Immobilize in long arm posterior splint with elbow at 70-90 degrees flexion. Consider offering a sling for comfort, encourage frequent shoulder range of motion exercises if sling is provided
- Transfer to emergency department for urgent orthopedic consult in case of severe pain, neurovascular compromise, or Gartland II or higher fracture on imaging
Case provided by Experity Teleradiology
